Category: Senza categoria

Ecografia indossabile: la nuova frontiera degli ultrasuoni
Senza categoria | 19 Dicembre 2025
Ecografia indossabile: la nuova frontiera degli ultrasuoni

Ecografia indossabile: la nuova frontiera degli ultrasuoni Nel 2025 il mondo dell’ecografia sta vivendo una fase di profonda trasformazione. Accanto ai progressi nell’intelligenza artificiale e nell’elaborazione delle immagini, la ricerca scientifica sta esplorando un’idea fino a poco tempo fa impensabile: l’ecografia indossabile, ovvero sistemi a ultrasuoni in grado di monitorare il corpo in modo continuo, anche al di fuori dell’ospedale….

Imaging interventistico: le nuove frontiere
Senza categoria | 28 Novembre 2025
Imaging interventistico: le nuove frontiere

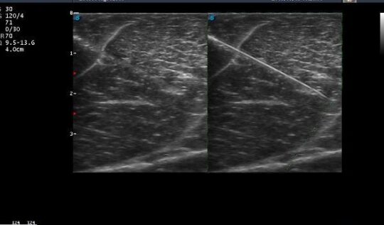
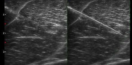
Imaging interventistico: le nuove frontiere Nel panorama dell’ecografia interventistica, uno dei temi più discussi negli ultimi anni è la visibilità dell’ago durante procedure come biopsie, drenaggi e infiltrazioni. A novembre 2025 è stato pubblicato uno studio che segna un passo avanti significativo in questo settore: “Real-time 3D Ultrasonic Needle Tracking with a Photoacoustic Beacon”, un progetto di ricerca che ha…

Sonoscape investe nel futuro con LazioInnova
Senza categoria | 7 Novembre 2025
Sonoscape investe nel futuro con LazioInnova

Sonoscape investe nel futuro con lazioInnova Progetto di Digitalizzazione cofinanziato – Voucher Digitalizzazione PMI Lazio Sonoscape Europe Srl ha completato con successo un progetto di trasformazione digitale nell’ambito del programma “Voucher Digitalizzazione PMI Lazio”, promosso da Regione Lazio e cofinanziato dall’Unione Europea. Obiettivi del progetto L’iniziativa ha avuto l’obiettivo di rafforzare la maturità digitale dell’azienda, migliorando la gestione interna, la…

10,5 mln per la ricerca cardiovascolare: AHA investe nell'IA
Senza categoria | 27 Ottobre 2025
10,5 mln per la ricerca cardiovascolare: AHA investe nell’IA

10,5 mln PER LA LOTTA ALLE MALATTIE CARDIOVASCOLARI: AHA INVESTE NELL’IA Nel 2025 l’American Heart Association (AHA) ha annunciato un finanziamento record di 10,5 milioni di dollari per sostenere progetti di ricerca che integrano intelligenza artificiale e imaging cardiovascolare, con particolare attenzione all’ecocardiografia per sostenere la lotta alle malattie cardiovascolari.Si tratta di una delle iniziative più significative degli ultimi anni…

L'intelligenza artificiale nell'ecografia cardiovascolare
Senza categoria | 26 Settembre 2025
L’intelligenza artificiale nell’ecografia cardiovascolare

L’IA nell’ecografia cardiovascolare: un alleato per la diagnosi Nel 2025, l’intelligenza artificiale (AI) sta trasformando l’ecografia cardiovascolare, migliorando la precisione diagnostica e ottimizzando i flussi di lavoro clinici. Studi recenti evidenziano come l’AI stia diventando un supporto fondamentale per i medici, anche in contesti di emergenza e per operatori con formazione limitata. Diagnosi più rapide e precise L’AI applicata all’ecocardiografia…

ISUOG World Congress 2025
Senza categoria | 27 Agosto 2025
ISUOG World Congress 2025

ISUOG World Congress 2025 Sonoscape è Platinum Sponsor dell’ISUOG 2025! Un appuntamento internazionale dedicato all’ecografia ostetrica e ginecologica. Dal 14 al 17 settembre 2025, con corsi pre-congressuali il 13 settembre, si terrà a Cancún (Messico) l’ISUOG World Congress 2025, uno dei più importanti eventi al mondo dedicati all’ecografia ostetrica e ginecologica. L’ISUOG – International Society of Ultrasound in Obstetrics and…

L’ecografia nella valutazione dei linfonodi cervicali
Senza categoria | 27 Agosto 2025
L’ecografia nella valutazione dei linfonodi cervicali

ECOGRAFIA CERVICALE AVANZATA: IL RUOLO CRUCIALE DEL DOPPLER NEI LINFONODI SOSPETTI La valutazione ecografica dei linfonodi del collo è fondamentale nella gestione clinica di numerose patologie, in particolare nei pazienti con carcinoma papillare della tiroide (PTC). L’evoluzione tecnologica ha permesso all’ecografia Doppler di affermarsi come uno strumento non invasivo essenziale per distinguere linfonodi reattivi da quelli metastatici. Lo studio: AI…

Ecografia e IA nella lotta al tumore al seno
Senza categoria | 21 Luglio 2025
Ecografia e IA nella lotta al tumore al seno

Ecografia e IA nella lotta al tumore al seno L’intelligenza artificiale (AI) sta trasformando profondamente l’approccio alla diagnosi oncologica. In particolare, l’uso dell’AI applicata all’ecografia senologica promette di identificare i biomarcatori molecolari associati al tumore della mammella in modo non invasivo, rapido e preciso. Una recente meta-analisi pubblicata su PLOS ONE ha confermato l’efficacia di queste tecnologie, posizionandole come uno…

Ecografia elastografica nella fascite plantare
Senza categoria | 27 Maggio 2025
Ecografia elastografica nella fascite plantare

Ecografia elastografica nella fascite plantare: una nuova frontiera diagnostica Un recente studio pubblicato sull’European Journal of Radiology ha analizzato in modo approfondito il ruolo dell’ecografia elastografica nella diagnosi della fascite plantare. Questa tecnica innovativa permette di misurare la rigidità della fascia plantare, offrendo informazioni preziose che vanno oltre la semplice immagine ecografica tradizionale. Cosa ha evidenziato lo studio La revisione…

AI e Ultrasuoni
Senza categoria | 13 Dicembre 2024
AI e Ultrasuoni

AI e Ultrasuoni La tecnologia degli ecografi Sonoscape sta attraversando un periodo di forte innovazione, grazie all’integrazione dell’intelligenza artificiale (AI). Queste novità stanno trasformando la diagnostica per immagini, rendendo gli esami più rapidi, accurati e accessibili. Se cerchi informazioni su come la tecnologia AI stia cambiando il mondo degli ultrasuoni e quali vantaggi offra, sei nel posto giusto.   Intelligenza…

Categorie